Smile metamorphoses

Find out how your smile can change

Thanks to modern technology, we can subtly correct any imperfections in the smile, ensuring that the safety and health of the patient is maintained.

Even minor corrections to the natural shape or color of teeth can make the smile more radiant and full, which in turn affects the appearance of the entire face and the Patient’s greater self-confidence.

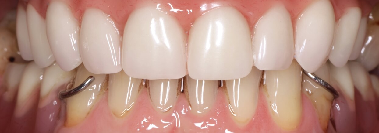
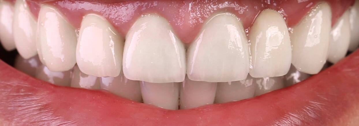
Before After

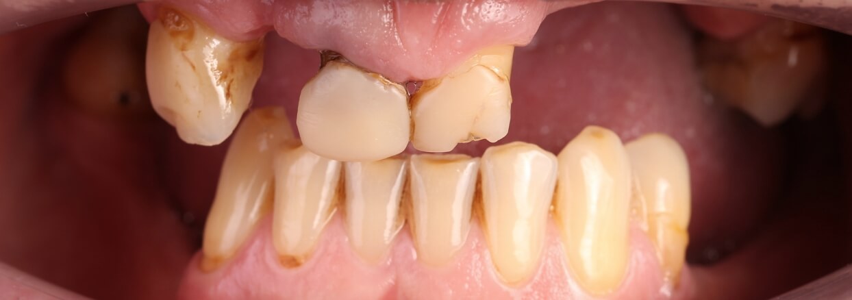
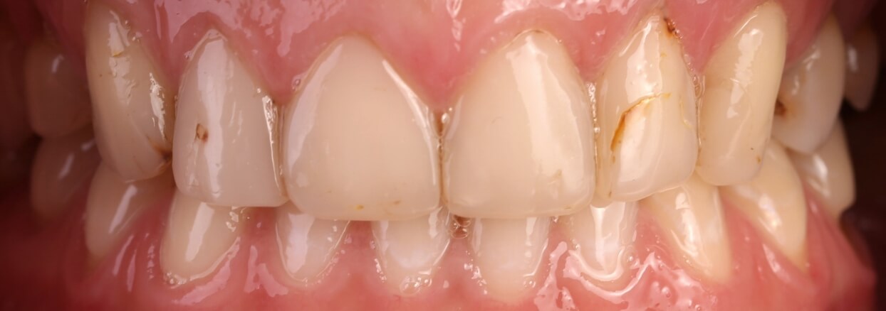
The patient underwent prosthetic rehabilitation, reconstruction of pathologically worn teeth in the mandible and prosthetic reconstruction on porcelain of the upper arch. Porcelain crowns and veneers were used in the aesthetic zone.

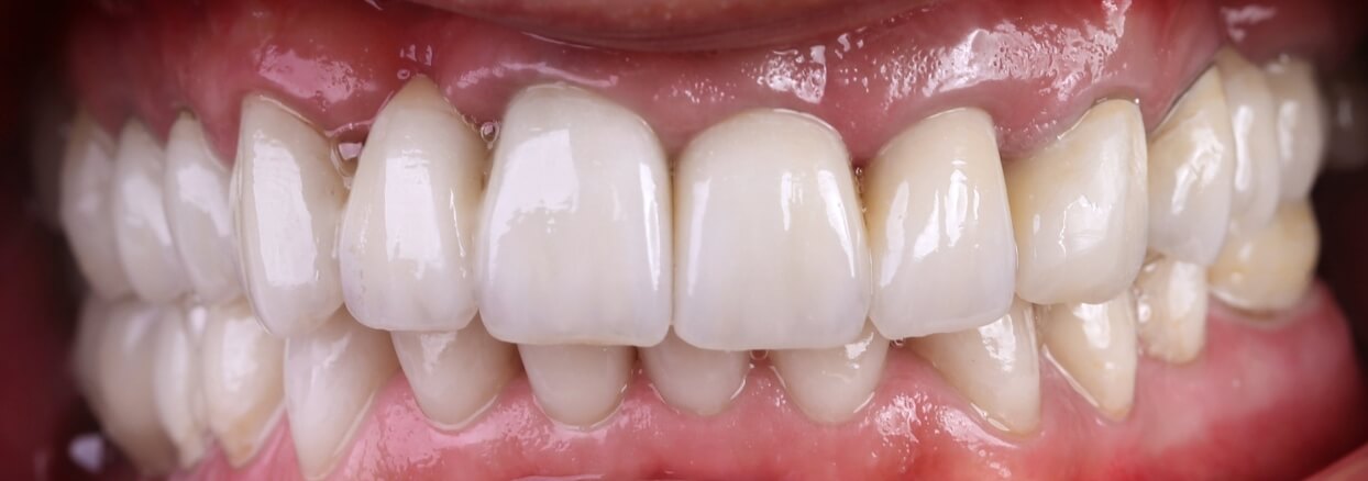
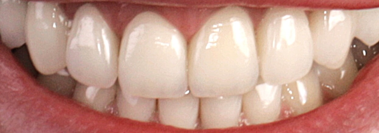
Before After

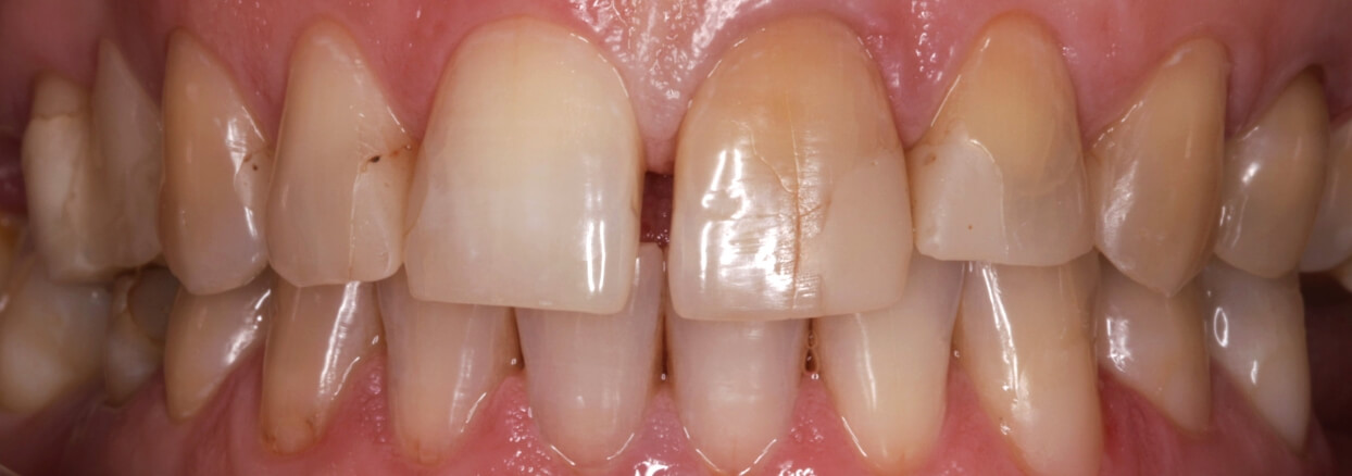
The patient was treated with all-ceramic crowns after his teeth were treated (conservative and root canal treatment was performed).

Before After

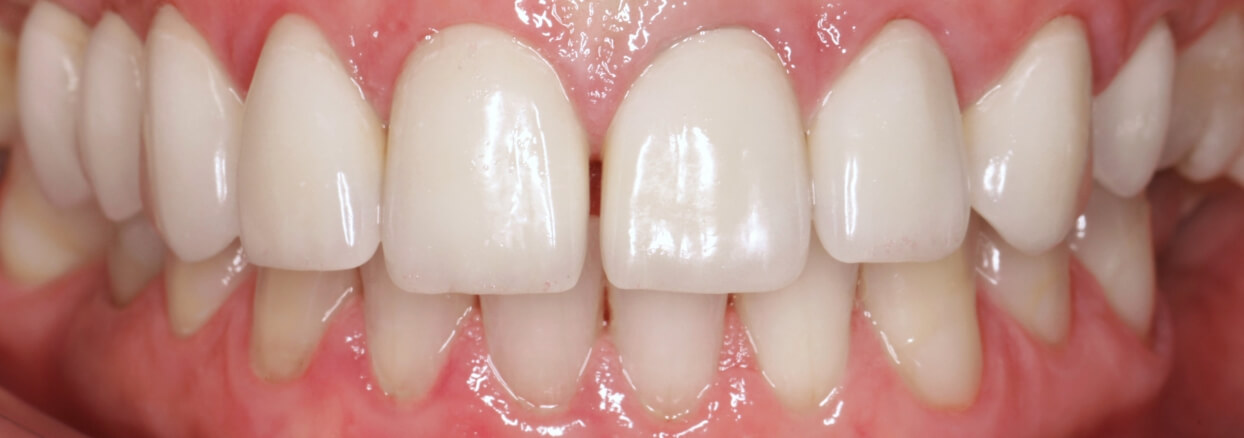
The patient underwent restoration of the upper arch based on all-ceramic crowns to achieve an aesthetic result.

Before After

The patient underwent a one-day ALL-ON-4® restoration of the upper jaw on 4 implants – the prosthetic work returned the same day.

Before After

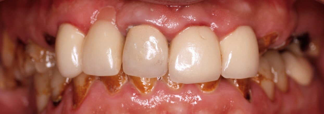
The patient underwent conservative, endodontic and periodontal treatment. After completion, prosthodontic treatment with full-porcelain crowns and bridges was started. Treatment time – 9 months.